找回密码
 立即注册

微信扫码登录

搜索

[特殊类型] 囊腔型肺癌:被忽视的“肺囊肿”

[复制链接]
肺癌前沿 发表于 2021-11-3 00:00:00 | 显示全部楼层 |阅读模式
广东省人民医院 广东省肺癌研究所 洪慧昭 钟文昭


肺癌是一个高度异质性的疾病,尽管晚期患者的生存预后不佳,I期患者在根治性切除术后5年生存可以达到77%以上,癌症筛查,早诊早治是当代癌症研究领域的潮流。近年来,随着薄层CT的推广应用,临床上发现越来越多肺部结节,这种结节多呈现为体积小,数量多,种类复杂,良恶不明。如何快速甄别恶性结节,避免漏诊误诊,以及过度治疗成为了现代早期肺癌筛查的重要问题。肺癌在CT或胸片上大多表现为密度增高的结节影,包括磨玻璃,混合磨玻璃,实性结节,但另有一类特殊的早期肺癌在影像上表现有薄壁囊腔的特征(约占原发肺癌0.5%-4%),也就是我们常说的囊性或囊腔型肺癌,这类型结节容易被忽视而导致误诊。

336ca6770bef56bfb26b7f398ee00eb9.png

囊性肺癌的影像学特征

囊性肺癌在影像CT上主要表现为四种类型:


ec047125e9d49d0d47c1064e2b071093.png

I/II型是由囊腔和实体结节组成,而III/IV型则更为复杂,因此在临床实践中,III/IV型囊性肺癌更容易导致误诊而延迟诊断。此外,尽管这四种类型的肺癌在形态学上各不相同,但其生物学行为以及预后之间的差异仍未知。并且随着时间发展,结节的形态可以发生改变。


病理特征&形成机制
囊性肺癌的病理表现通常是早期腺癌,也有少数是鳞癌,腺鳞癌。
关于囊性肺癌的囊腔如何形成现在尚不明确,关于这个问题有许多假设。其一,肺癌可以起源于囊泡壁,比如肺大泡,先天性肺囊肿等。另一种假设就是“check-valve“效应,肿瘤细胞沿小气道生长,并与纤维组织等形成阀门 ,吸气时气体进入气腔,呼气时气道变窄甚至闭合,气体无法完全排出,从而形成末端的囊性腔隙。


f70f185977ed265c4ba2c06bd0325e61.png

诊断与治疗
囊性空洞型结节很容易造成误诊。正如前面提到的,囊性肺癌与常见的肺部小结节不同,有不典型的囊腔空洞表现。此外,一些良性疾病也可以表现为囊性气腔。比如一些在囊腔中形成的菌丝体球,肺大疱等。



e66f96fbcb506050174dae9b4c27942c.png

真菌感染

那么遇到这些囊性病变如何鉴别。除影像学特征外,目前常用的鉴别良恶性结节的方法包括PET/CT,但PET/CT在鉴别囊性结节上并没有体现很大优势,当结节实性成分<8mm时,通常不会有代谢的增高,并且一些炎症或感染性病变也可能会存在代谢,从而增加假阳性率,所以单纯依靠PET/CT鉴别囊性结节的良恶性并不可靠。穿刺活检是另一个选择,当实性成分较大时,可以通过穿刺获取病理,但这存在一定肿瘤播散的风险。当然我们还可以选择比较前沿的ctDNA检测,但通过ctDNA筛查肺癌的方式并不成熟,并且早期肺癌(尤其是I期)的ctDNA检测阳性率低,容易造成误诊。目前比较可靠的方式是通过CT随访,当结节囊壁增厚,结节增大和/或实性成分增加时,需要高度怀疑是否为恶性肿瘤。总的来说,囊性结节的诊断需要多学科的介入,综合考虑患者的临床病史,结节影像学特征,随访变化以及其他肿瘤相关指标。


15a3aee5dfbdf2a8362819002c6dbc7c.png


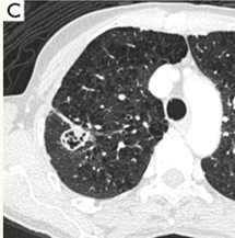
e878d03366534de217b2415de96830cc.png

63岁男性,吸烟者,检查发现右上肺结节,既往史有COPD,随访三年结节增大,基本变实,术后病理提示右上肺浸润性腺癌 (pT1cN0M0IA3期)。

目前指南上并没有把囊性肺癌分开讨论,对于囊性结节的最佳随访策略,分期以及测量方式没有统一的标准。关于分期,部分专家提出可以单纯测量实体结节的大小,但对于囊壁增厚型的结节这种测量方式显然不适用,这种情况下应考虑整体囊性结节的最大径。

d2367ad4bda8d003fac8382804f70994.png

囊性结节在治疗策略上与实体肺结节相似,主要决定于结节的大小以及磨玻璃与实性成分占比。当结节>2cm时,建议行肺叶切除术。1-1.5cm非纯磨玻璃结节,磨玻璃成分>50%,且<2cm的结节,可行亚肺叶切除。除此之外,我们应该考虑肿瘤的生物学行为。2012年内科学年鉴上发表过一篇文章,指出新发现的肺癌中有25%为惰性肺癌,这类型肺癌进展患者甚至不进展,对于这类型肺癌我们可以不必过早的进行手术或其他方式干预。囊性肺癌生物学行为的研究较少,2012年Farooqi等人报道了26个体检发现肺部囊泡的病例,囊壁实性变共经过12-118月(中位时间,35月),其中一例观察了6年而病灶无任何改变。如何区别惰性与快速进展型肺癌,如何处理不同生物学行为的恶性肿瘤仍需更多的数据回答。



17f8d342b8830d59386dc0447ca7d7ba.png

·      男性,80岁,右下肺疤痕癌,病灶内部可见不规则钙化灶,未见肿大淋巴结。
·      病理:右下肺浸润性腺癌(pT2aN0M0,IB期)
·      这是一个缓慢进展型的肺癌,随访3.5年结节无明显变化。



d33318f7a980a7907c92763c9382f8ca.png

总结

878383762ff37612bfd18049496ad13d.png


参考资料:
1.  Lung Cancers Associated with Cystic Airspaces:Underrecognized Features of Early Disease
2.  Cyst-related primary lung malignancies: an important andrelatively unknown imaging appearance of (early) lung cancer
3.  Diagnostic and clinical features of lung cancerassociated with cystic airspaces
4.  https://radiologyassistant.nl/






回复

使用道具 举报

您需要登录后才可以回帖 登录 | 立即注册

本版积分规则

给我们建议|手机版|阳光肺科 ( 粤ICP备2020077405号-1 )

GMT+8, 2026-2-5 00:05

Powered by Discuz! X3.5

© 2001-2026 Discuz! Team.

快速回复 返回顶部 返回列表