找回密码
 立即注册

微信扫码登录

搜索

[🌻肺结节科普] CT报告说我有肺肉芽肿性结节,会恶变吗?

[复制链接]
阳光肺科 发表于 2023-4-22 00:00:00 | 显示全部楼层 |阅读模式

马上注册,阅读更多内容,享用更多功能!

您需要 登录 才可以下载或查看,没有账号?立即注册

×
肺肉芽肿性病变,是由组织细胞、巨噬细胞,和(或)上皮细胞聚集而形成的特异性增生性炎症。

CT报告的肺肉芽肿性结节,多表现为实性结节,可单发可多发,边界模糊。

真正的肺肉芽肿性结节是不会恶变的,但是部分肉芽肿性结节的CT表现与肺癌表现类似,肉芽肿性结节会被误诊为肺癌,而肺癌亦可被误诊为肉芽肿性结节。所以,尽管真正的肺肉芽肿性结节不会恶变,但可能肺癌会被误诊为肉芽肿性结节,因此,若CT诊断为肺肉芽肿性结节,动态随访观察是必要的!建议与主诊医师一起讨论确定下如何随访观察,每次复查相隔多久?是做胸部CT平扫还是增强CT?等等。
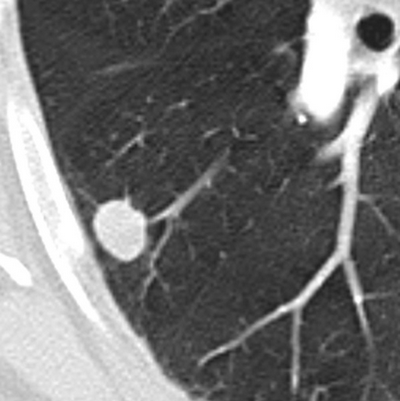
截图202304221401102285.png
图1. 肺肉芽肿性结节,边缘光滑清晰
(图片来自:Evaluation of solitary pulmonary nodule detected during computed tomography examination

作者:刘春玲(广东省人民医院影像医学科)
审校:杨学宁(广东省肺癌研究所肺外科)

回到目录:
回复

使用道具 举报

您需要登录后才可以回帖 登录 | 立即注册

本版积分规则

给我们建议|手机版|阳光肺科 ( 粤ICP备2020077405号-1 )

GMT+8, 2026-5-3 07:01

Powered by Discuz! X3.5

© 2001-2026 Discuz! Team.

快速回复 返回顶部 返回列表