找回密码
 立即注册

微信扫码登录

搜索

[特殊类型] 囊腔型肺癌(Lung Cancer Associated With Cystic Airspaces)

[复制链接]
杨学宁医师 发表于 2023-6-8 13:29:51 | 显示全部楼层 |阅读模式
近年来随着胸部CT应用的普及,发现部分肺癌表现为肺内囊腔,CT表现为薄壁囊腔或者囊腔伴有实性或者磨玻璃成分,这种特殊类型的肺癌称为囊腔型肺癌(Lung Cancer Associated With Cystic Airspaces,LCCA)与囊性空间相关的肺癌。

流行病学
囊腔型肺癌占所有肺部肿瘤的不到4%。男性多见,约占60%。与吸烟无明确关联。

临床表现
它们通常无症状。

病理
有两个公认的与囊腔形成相关的理论:
  • 肿瘤在正常肺实质和纤维化/扭曲的囊性气腔(肺大疱,支气管扩张性气道和胸腔下囊肿等)交界处产生。
  • 由于单向阀机制,肿瘤细胞生长阻塞远端气道并诱导CT上可见囊肿的形成。随着肿瘤进展,逐渐可以看到囊腔扩大且囊腔中有软组织成分增大。

囊腔型肺癌较多见非小细胞肺癌。主要是腺癌,约占 80%,中高分化腺癌占绝大多数;鳞状细胞癌是第二大常见亚型。另外,还有极少数其他类型的肿瘤,如腺鳞状,神经内分泌和淋巴瘤。

影像学特点
在大多数情况下,囊腔型肺癌的影像学特征并不特异。
囊性气腔及其邻近的肺结节在形态上发生任何变化都应该被认为是可疑的。
囊性气腔在随访CT中出现囊性气腔囊壁增厚或者腔外结节增大,应该怀疑囊腔型肺癌,尤其是有肺癌高风险的患者,应该考虑进一步检查。
随着肿瘤生长,囊性气腔多数缩小,但也可以增大。在PET/CT检测,多数FDG摄取会增高

囊腔型肺癌分型

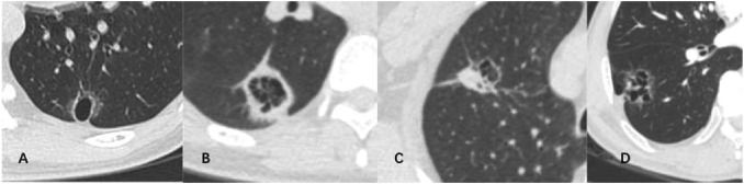
1. 根据Mascalchi等的研究,囊腔型肺癌在CT下可分为四种模式(见图1)。
截图202306081955534570.png
图1. I-IV型示意图
  • I型:囊性气腔外实性结节
  • II型:囊性气腔内实性结节
  • III型:囊性气腔伴弥漫性囊壁增厚
  • IV型:多个囊性气腔,内有实性和/或非实性组织。该特殊类型是以贴壁样(lepidic)为主的腺癌、微小浸润性腺癌和原位腺癌中所常见的典型模式。


2. 根据上海肺科医院Shen等的分型(见图2.)
截图202306081944258542.png
I型:囊壁厚 <2 mm;
II型:囊壁厚 ≥ 2 mm;
III型: 囊性气腔伴有跨壁结节(腔内或者腔外);
IV型:多个囊性气腔混合实性成分。

鉴别诊断
在鉴别肺部囊腔时,需要结合临床信息和病史。阴性PET / CT不排除恶性肿瘤。
  • 肺部炎症改变或感染
    感染的病史和影像学的的典型改变
    真菌性囊腔倾向于弥漫性壁增厚
  • 淀粉样变性
  • 肺转移性肿瘤
    肺转移瘤可能在治疗后出现空洞(化疗或抗血管生成药物治疗)
    临床病史和以前的影像对比通常可以区分
  • 肺大疱
    囊腔型肺癌多数囊腔内有分隔,甚至囊腔内有血管或支气管穿行,而囊腔型肺癌囊腔周围可有实性、磨玻璃或混杂密度的结构;肺大泡周围无结构。

分型和预后
囊腔型肺癌的预后至今仍有争议。
1. 囊腔型肺癌的预后可能劣于非囊腔型肺癌
Hiroyuki Kimura等分析了12例囊腔型肺癌,囊腔型肺癌5年生存率明显低于非囊腔型(263例),37% VS 91.7%(p<0.0001),5年RFS为55% vs 86.7%。
Wang B等(2021)的研究显示囊性气腔是浸润性腺癌的独立预测因素((odds ratio, 3.220; 95% confidence interval, 1.822-5.687),且多囊腔与单囊腔相比更易倾向浸润性腺癌( 47.1 vs 72.2%; P < .05)。
2. 囊腔型肺癌的预后可能优于非囊腔型肺癌
上海肺科医院Shen等的研究显示:囊腔型肺癌所有分型的病灶较非囊腔型肺癌(2cm)更大, 尤其是 Ⅲ 型(3.09cm) 和Ⅳ 型(3.65 cm)。
囊腔型肺癌的3 年RFS 率高于非囊腔型肺癌组,其中Ⅰ ~ Ⅳ型囊腔型肺癌 的分别为100%、84%、77% 和83%, 而非囊腔型肺癌 的为77%。然而, 仅发现Ⅰ型和非囊腔型肺癌组有显著差异(P=0.026)。在所有4 种分类中,Ⅲ型肺癌的生存率最差,其中中低分化组织学亚型明显高于其他分型,III型(85.0%)VS I型(50.0%)、II型(50.0%)和IV型(69.6%)。多因素分析显示,III型、囊壁实性/亚实性成分、内壁表面不规则是中低分化组织学亚型的独立风险因素。
Shinohara S等回顾52例LCCA,伴有肺大疱肺癌患者预后更优。

随诊建议
部分囊腔型肺癌性质惰性,且因为囊性气腔的存在,易被误认为肺大疱或者非肿瘤性的囊性肺部疾病,需要有计划的随访。
  • 初次检出,建议 3 个月后随访 CT,观察其动态变化;
  • 连续 5 年的胸部 CT 监测,与部分实性结节监测相似;
  • 如果病灶稳定,并且只有很小的或根本没有可测量的实性成分,则考虑年度一次的随访,类似于纯磨玻璃结节的监测策略。
早期囊腔型肺癌有可能仅表现为薄璧囊腔样结构,很容易被误诊为肺大泡、肺囊肿,因此,需要有计划的随着观察。随诊过程中,应重点观察囊腔内有无分隔,有没有弯曲血管或支气管穿行等征象。对于 CT 上典型囊腔伴有周围边界清晰地磨玻璃影,基本上可以确定是肺腺癌。

小结:
囊腔型肺癌随着低剂量CT的应用有增加趋势。由于多数的研究为小样本回顾性研究,结论差异较大。对于囊腔型肺癌的分型不同的学者也略有差异。
需要临床医生对于该型肺癌持续的关注和总结。

参考文献

参考网址:
Lung cancer associated with cystic airspaces | Radiology Reference Article | Radiopaedia.org

回复

使用道具 举报

 楼主| 杨学宁医师 发表于 2023-6-8 13:32:07 | 显示全部楼层
游客,您所在的用户组(游客)暂无权限查看回复内容,请微信注册本站
回复

使用道具 举报

您需要登录后才可以回帖 登录 | 立即注册

本版积分规则

给我们建议|手机版|阳光肺科 ( 粤ICP备2020077405号-1 )

GMT+8, 2026-2-5 00:03

Powered by Discuz! X3.5

© 2001-2026 Discuz! Team.

快速回复 返回顶部 返回列表