找回密码
 立即注册

微信扫码登录

搜索

[放射治疗相关] 放射性肺损伤:影像学表现

[复制链接]
阳光医学 发表于 2017-10-4 00:00:00 | 显示全部楼层 |阅读模式

马上注册,阅读更多内容,享用更多功能!

您需要 登录 才可以下载或查看,没有账号?立即注册

×
放射性肺损伤的影像学表现

一、多局限在照射区域内改变
  • 斑片影
  • 通气支气管征
  • 条索影
  • 肺实变影
  • 蜂窝样改变
二、少数患者同时伴有放射区域外的影像学改变


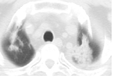
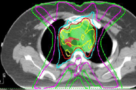
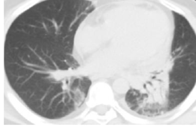
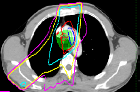
典型RILI影像表现及射野
WUj2fvhRjYOMcNYU.jpg EUuSa662a6s4XYS0.jpg

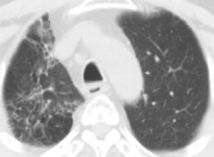
放射野内斑片影
Bgr41Qgrm9eecp6p.jpg yBsczorQ4sRNn4Qo.jpg

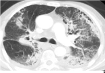
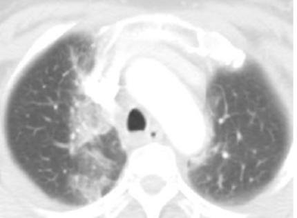
放射野内条索影
m6E42Ccahac2B45l.jpg

实变影
MlM3QX0G967zgT93.jpg

通气支气管征
KLdEOWELPS1KEBuL.jpg

参考文献
  • 放射性肺损伤诊治共识解读
回复

使用道具 举报

您需要登录后才可以回帖 登录 | 立即注册

本版积分规则

给我们建议|手机版|阳光肺科 ( 粤ICP备2020077405号-1 )

GMT+8, 2026-4-30 09:19

Powered by Discuz! X3.5

© 2001-2026 Discuz! Team.

快速回复 返回顶部 返回列表