找回密码
 立即注册

微信扫码登录

搜索

[WHO2021] 气腔内播散(spread through air spaces,STAS)

 火.. [复制链接]
阳光肺科 发表于 2022-6-24 00:00:00 | 显示全部楼层 |阅读模式

马上注册,阅读更多内容,享用更多功能!

您需要 登录 才可以下载或查看,没有账号?立即注册

×
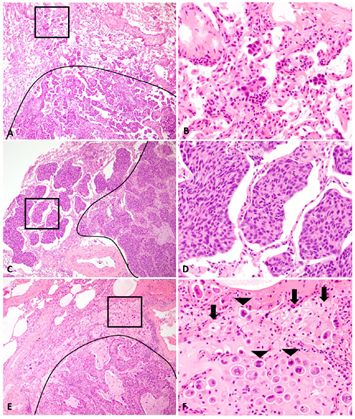
气腔内播散(spread through air spaces,STAS)指肺癌的肿瘤细胞(包括微乳头结构、实性癌巢或单个细胞)经肺泡腔隙播散至原发瘤灶主体边缘之外的肺实质中。肿瘤细胞通常形成微乳头、实性细胞巢或以单个细胞形式向外播散。STAS 的存在常提示预后不佳。
STAS现象多年以前即被病理科医师关注,但一直有争议。2015年,来自美国MSKCC的William D. Travis对STAS做了系统性描述与定义[1]

病理学特征
Arne Warth等[2]评价了 569 例肺腺癌患者的 STAS 情况,他们将距离肿瘤主体<3 个肺泡间隔的癌细胞巢(至少 5 个肿瘤细胞)定义为局限性 STAS,将距肿瘤主体>3 个肺泡间隔的癌细胞巢定义为广泛性 STAS,癌巢不能与肿瘤主体有连接,且在肿瘤主体周围散在分布。
截图202107161743227306..png

STAS作为肺癌播散的新方式,是肺癌浸润的一种形式。如果在肺切除标本中发现存在STAS,即使是原位癌或微浸润癌也将被划分为浸润性腺癌。
近一半的腺癌患者中存在STAS,且在高级别腺癌亚型如微乳头腺癌患者中比例较高。存在STAS的腺癌患者总体生存时间及无病生存时间均明显降低。在接受亚肺叶切除的患者中,STAS的存在是复发的独立预后因素。
约1/3的鳞状细胞癌患者中也存在STAS,且是复发和肺癌特异性死亡的独立预后因素。
STAS在约一半的患者中存在,局限性 STAS 阳性者占 21.6%,广泛性 STAS 阳性者占 29.0%;STAS 与肿瘤组织学类型、分级和淋巴结转移有关;研究还发现 STAS 与基因突变有关,TAS 阳性者 EGFR 突变率低, BRAF 突变率高。

截图202107161756379812..png

分子特征
Jae Seok Lee 等[3]的研究称 STAS 与野生型 EGFR 突变及 ALK 重排相关;在 ROS1 重排的患者中,71%的患者 STAS 呈阳性。
Yan Jin 等[4]的研究认为 ROS1 重排与肿瘤的微乳头结构、经气道播散及E-cadherin 低表达之间具有联系。

STAS和人工假象
STAS应与人工假象进行鉴别,人工假象具有的特点包括:
  • 随机或边缘杂乱的肿瘤细胞簇通常分布于组织切片边缘或切片外。
  • 肿瘤边缘及远处的气腔内缺乏连续性的肿瘤细胞分布。
  • 肿瘤细胞簇呈锯齿状边缘分布。
  • 播散的细胞具有肺泡细胞或支气管细胞等良性细胞学特点。
  • 从肺泡壁上剥落的线条状细胞。

STAS对手术切除范围的影响
目前的研究结果已经表明,如果存在STAS,行亚肺叶切除后复发风险较高。然而,目前我们并不能够通过胸部CT等影像学手段在术前准确预测STAS的存在。冰冻病理学检查制片过程中组织固定不佳,尚不能确定是否可准确判读STAS存在与否。因此,当前我们并不能够在术前或术中通过识别STAS的存在来指导手术切除范围。
Kyuichi Kadota 等[5]研究了 411 例Ⅰ期肺腺癌患者。他们将 STAS 定义为一种在肿瘤主体外经肺泡播散的肿瘤细胞群,肿瘤细胞群可以呈微乳头结构、实体结构或者散在单个分布,在≤2cm 的Ⅰ期肺腺癌中 STAS 阳性率达 38.0%。根据手术方式不同,将肺腺癌患者又分为肺局部切除组和肺叶切除组,肿瘤经肺泡扩散现象阳性者局部切除患者的复发率较肺叶切除患者的复发率高。
Kyuichi Kadota 等[6]研究肺鳞状细胞癌与 STAS关系,文献总样本量为 216 例,其中肺泡存在播散肿瘤细胞者 87 例(40%),肺泡肿瘤细胞均排列成实性细胞巢状,这 87 例患者的淋巴结转移率、肿瘤差分化、淋巴管侵犯率均较阴性者高;而且 STAS 阳性者的RFS均较阴性者短。
Yanagawa N等[7]一项关于肺鳞状细胞癌的研究纳入病例 220 例,其中肺泡可见播散细胞者 42 例,占总数的 19.1%,研究结果显示 STAS 只在 I 期肺鳞癌中对无复发生存期和总生存期有影响,对Ⅱ期或Ⅲ期肺鳞癌预后意义不明确。

上述两个关于肺鳞状细胞癌的研究中 STAS 阳性率存在较大差异,可能由患者纳入标准或 STAS 判读标准不同导致。

作者:杨雄雯,杨学宁

参考文献   
  • Travis WD, et al. The 2015 World Health Organization Classification of Lung Tumors Impact of Genetic, Clinical and Radiologic Advances Since the 2004 Classification. Journal of Thoracic Oncology 2015; 10; 1243-1260.
  • Warth A, et al. Prognostic Impact of Intra-alveolar Tumor Spread in Pulmonary Adenocarcinoma. Am J Surg Pathology 2015; 39; 793-801.
  • Lee JS,  et al.  Genetic and clinicopathologic characteristics of lung adenocarcinoma with tumor spread through air spaces. Lung Cancer 2018,123:121-126.
  • Jin Y,et al. Frequent aerogenous spread with decreased E-cadherin expression of ROS1-rearranged lung cancer predicts poor disease-free survival. Lung Cancer 2015,89(3):343-9.
  • Kadota K, Nitadori J, Sima CS, et al. Tumor spread through air spaces is an important pattern of invasion and impacts the frequency and location of recurrences after limited resection for small stage I lung adenocarcinomas[J]. J Thorac Oncol.2015,10(5):806-14.
  • Kadota K,Kushida Y,Katsuki N,et al.Tumor Spread Through Air Spaces Is an Independent Predictor of Recurrence-free Survival in Patients With Resected Lung Squamous Cell Carcinoma[J].Am J Surg Pathol. 2017,41(8):1077-1086.
  • Yanagawa N, Shiono S, Endo M, et al. Tumor spread through air spaces is a useful predictor of recurrence and prognosis in stage I lung squamous cell carcinoma, but not in stage II and III[J]. Lung Cancer. 2018, 120():14-21.
杨学宁医师 发表于 2022-6-24 10:37:14 | 显示全部楼层
游客,您所在的用户组(游客)暂无权限查看回复内容,请微信注册本站
Martin 发表于 2025-6-9 02:58:57 | 显示全部楼层
游客,您所在的用户组(游客)暂无权限查看回复内容,请微信注册本站
呼吸 发表于 2026-2-24 10:12:25 | 显示全部楼层

气道播散肺转移性肿瘤的一种常见现象

游客,您所在的用户组(游客)暂无权限查看回复内容,请微信注册本站
 楼主| 阳光肺科 发表于 2026-4-19 13:54:40 | 显示全部楼层

气腔内播散(STAS):STAS相关肺腺癌分子特征的临床意义

游客,您所在的用户组(游客)暂无权限查看回复内容,请微信注册本站
john 发表于 2026-4-19 13:57:53 | 显示全部楼层
游客,您所在的用户组(游客)暂无权限查看回复内容,请微信注册本站
您需要登录后才可以回帖 登录 | 立即注册

本版积分规则

给我们建议|手机版|阳光肺科 ( 粤ICP备2020077405号-1 )

GMT+8, 2026-5-21 09:24

Powered by Discuz! X3.5

© 2001-2026 Discuz! Team.

快速回复 返回顶部 返回列表